Blanqueamiento en clínica dental
Las técnicas de blanqueamiento en clínica dental son diferentes según el tipo de diente al que deban aplicarse. Se distinguen por tanto, técnicas de blanqueamiento de dientes naturales o vitales, y de dientes con endodoncia o no vitales.
A su vez el blanqueamiento de dientes vitales puede ser de tres tipos:
- Blanqueamiento dental realizado por odontólogo especialista o dentista en la clínica dental.
- Blanqueamiento dental realizado por el paciente en su domicilio, bajo supervisión de odontólogo especialista (también llamado blanqueamiento dental ambulatorio).
- Blanqueamiento dental realizado por consumidores en su hogar, comprando pastas dentífricas y geles blanqueadores en cualquier tienda, por tanto, sin supervisión de especialista.
Las técnicas actuales de blanqueamiento en clínica dental se basan en la utilización de dos productos, el peróxido de hidrógeno, un compuesto químico que contiene hidrógeno y oxígeno, con un potente efecto oxidante y reductor, y el peróxido de carbamida, un compuesto químico formado por peróxido de hidrógeno y urea, que libera el peróxido más lentamente.
- Peróxido de Hidrógeno.

- Peróxido de carbamida.

Técnicas de blanqueamiento en clínica dental
En este tipo de tratamiento de blanqueamiento en clínica dental se utiliza como producto blanqueador el peróxido de hidrógeno en elevadas concentraciones, habitualmente al 35%, y puede o no, ser activado por una fuente de luz.
El proceso como se ha mencionado, se realiza exclusivamente en el consultorio o clínica dental por un odontólogo, en las siguientes fases:
- Estudio previo.
En esta fase se realiza una limpieza exhaustiva de la placa dental del paciente debido a que ésta interfiere en la aplicación del blanqueamiento. Se presta también atención a defectos estructurales en los cuales esté expuesta la dentina, como en el caso de las caries, y se produce una restauración previa de las piezas dañadas.
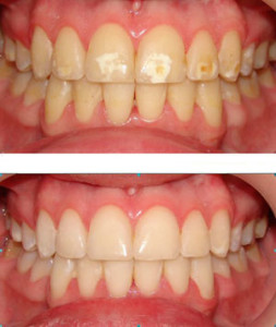
- Registro de color.
Se mide el tono del color con una guía de colores “Vita” y se realizan fotografías del diente vital y el diente de la guía.
- Aislamiento de los tejidos blandos.
Se protegen los labios y las encías con un dique de goma o una resina para evitar la filtración del agente blanqueador cuyo contacto puede provocar lesiones en las partes blandas.
- Pulido superficie dental.
Se realiza un pulido del esmalte con piedra pómez para eliminar cualquier contaminante que pudiera quedar, otra posibilidad es utilizar ácido ortofosfórico al 35% durante unos segundos, lavando después con abundante agua y secándolo a continuación.
- Aplicación del Peróxido de hidrógeno.

Se procede a una aplicación del gel de peróxido de hidrógeno diente por diente. Las sesiones duran de 15 a 30 minutos, pudiéndose repetir un máximo de tres sesiones con un intervalo de 15 días entre sesión y sesión.
- Exposición a una fuente de luz o calor.
Al proyectarse la luz sobre el gel blanqueador, una parte de ésta es absorbida y convertida en calor, y esto permite la activación y aceleración del proceso de blanqueamiento dental.
- Supresión del gel.
El gel es retirado y los dientes son aclarados con abundante agua.
- Fluorización de los dientes.
Se procede a la aplicación de una capa de flúor de alta concentración durante un periodo de dos minutos.
- Comprobación de color.
Se vuelve a medir el tono del color con la guía de colores “Vita” y se realizan fotografías del diente vital y el diente de la guía. Con esta fase termina el proceso de blanqueamiento dental.
La ventaja de esta técnica de blanqueamiento en clínica dental reside en el hecho de que al utilizarse geles de peróxido de hidrógeno de alta concentración, los resultados son inmediatos. Por el contrario, se ha criticado que al no continuarse el tratamiento por el propio paciente en su domicilio, su duración es limitada en el tiempo.